[Fehorizon Ushers in the 3.0 Era] Rooting Technology, Nurturing Talent – HCHORIZON Bridges the "Last Mile" of High-Quality Medical Resources to the Grassroots Through Discipline Development
During this year's National Two Sessions, the "implementation of the Healthcare Strengthening Project at the Grassroots Level" was incorporated into the government work report, becoming a focal point of discussion both inside and outside the venue. How to bridge the "last mile" of convenient healthcare services, enabling more people to access quality medical care close to their homes, is not only a policy directive of the state but also an urgent aspiration of grassroots communities.
As a healthcare group deeply rooted in grassroots communities, HCHORIZON, under FEHORIZON, operates 25 member hospitals across 13 provinces. It directly addresses practical challenges such as discipline advancement, talent development, and resource integration, further leveraging its group-wide advantages. Guided by chief experts and anchored in talent cultivation, HCHORIZON is forging a distinctive path for discipline development in the social healthcare sector.
From 100 Surgeries to a System of Capabilities
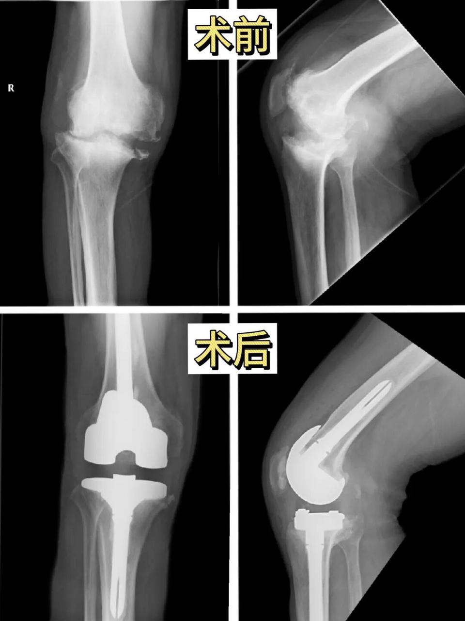
In less than four months, more than 100 knee replacement surgeries were successfully performed.
This is the latest achievement delivered by Professor Li Jun, Chief Orthopedic Specialist of HCHORIZON, together with the orthopedic team at Pizhou Dongda Hospital, which includes multiple complex cases such as severe flexion contracture deformities.
Data from the National Health Commission shows that approximately half of the population aged 65 and above in China suffers from chronic bone diseases such as osteoarthritis. In county-level and rural areas, factors such as long-term manual labor habits and limited health awareness contribute to an earlier onset of degenerative joint diseases and longer disease courses, creating a particularly urgent need for high-quality orthopedic care close to home.

For a county-level hospital, the successful completion of over 100 surgeries reflects the development of several key capabilities—
• Stable surgical rhythm: Consistent operations over the past four months indicate that the team has established standardized procedures rather than sporadic surgical efforts.
• Enhanced capacity to manage complex cases: Knee flexion contracture surgery, which requires advanced techniques in soft tissue release and flexion-extension gap balancing, has historically been less common in county-level hospitals. The team’s success demonstrates its technical readiness to handle complex cases.
• Implementation of a fast-track recovery pathway: A complete ERAS (Enhanced Recovery After Surgery) care pathway—covering preoperative education, intraoperative management, and postoperative rehabilitation—has been successfully implemented in Pizhou. This requires seamless collaboration across anesthesia, nursing, and rehabilitation departments, reflecting the team’s collective capabilities.
As diagnostic and treatment capabilities have improved, patients from surrounding counties and cities have increasingly sought care at the hospital. Recently, a patient from Henan Province traveled specifically to Pizhou Dongda Hospital to undergo CCK artificial knee replacement surgery.

The breakthrough at Pizhou Dongda Hospital demonstrates how grassroots social healthcare institutions can build discipline strengths, enabling more patients to experience "Quality Healthcare Within Reach."
From "Treatment" to a "Full-Cycle" Discipline Model
As population aging accelerates and the number of patients with chronic diseases grows, the demand for rehabilitation services is extending from "postoperative recovery" to the entire continuum of health management. Over the past year, HCHORIZON has continued to deepen its rehabilitation discipline development, executing a comprehensive set of initiatives. Professor Xu Yanzhong, Chief Rehabilitation Specialist, has conducted multiple visits to member hospitals to guide regional planning and discipline development, while also leading rehabilitation medicine training sessions focused on cutting-edge rehabilitation technologies and clinical practices, systematically empowering rehabilitation professionals at HCHORIZON member hospitals.

As rehabilitation resources have been deployed to the grassroots level, several member hospitals have gradually launched new services such as neurological rehabilitation, postpartum rehabilitation, and cardiopulmonary rehabilitation. The "full-cycle" concept has been integrated into clinical practice, shifting the focus of rehabilitation services from a "single treatment" orientation to a comprehensive management approach encompassing "prevention, treatment, rehabilitation, and maintenance."

From over 100 professionals to a nationwide network of member hospitals, HCHORIZON is forging a rehabilitation discipline development path characterized by expert leadership, systemic support, and clinical implementation. An increasing number of patients are now able to access continuous care—from acute treatment to recovery-phase rehabilitation—close to their homes.
From Individual Breakthroughs to a Systematic Approach to Grassroots Talent Development
The depth and breadth of discipline development are rooted in the soil of talent cultivation. HCHORIZON has been committed to building a systematic training mechanism, enabling individual breakthroughs at each member hospital to take root and grow in a systemic environment, ultimately coalescing into overall momentum for discipline development.
Under the coordinated leadership of the HCHORIZON Discipline Committee, the Discipline Leadership Talent Development Program is being implemented step by step. Physicians at member hospitals gradually improve their standardized diagnosis and treatment capabilities through online classes, reading international literature, studying discipline-specific theories, discussing typical cases, and reviewing surgical details. Offline, they engage in full-time training at discipline teaching bases, systematically mastering core techniques through outpatient shadowing, ward round practice, and surgical observation. In addition, learning through competition is also advancing simultaneously. The Group’s Rehabilitation Therapist Case Competition was successfully held, enabling rehabilitation professionals from member hospitals to build disciplinary consensus through professional exchange. Centered on “strengthening professional capabilities, promoting academic exchange, and building a growth platform,” this effort continues to inject talent momentum into high-quality discipline development.


Illuminating the Commitment to Healthcare and Sustainable Development Through Discipline Building With the development mission of “Quality Healthcare Within Reach,” HCHORIZON is attracting an increasing number of medical experts to join its ranks. Multiple discipline specialists have entered the clinical frontlines of member hospitals, leveraging a collaborative model of “expert + platform” to systematically infuse advanced technologies, management experience, and clinical thinking into each member hospital, helping county-level medical and health services accelerate their development trajectory.
Moving forward, HCHORIZON will continue to advance specialty development and talent cultivation, forging a distinctive path for discipline building in the social healthcare sector—one that transforms medical expertise and compassion into accessible, trustworthy care for the people.
